Arthrose des Kniegelenks (Gonarthrose) ist eine chronisch fortschreitende Erkrankung der Kniegelenke mit Schädigung, Ausdünnung und Zerstörung ihres knorpeligen Teils (Gelenkflächen von Femur und Schienbein) sowie Schädigung des subchondralen Knochens. Durch Untersuchungen (Arthroskopie und Magnetresonanztomographie) konnte gezeigt werden, dass neben der Schädigung des Gelenkknorpels auch die Menisken und die Gelenkinnenhaut an dem Prozess beteiligt sind. Gonarthrose ist eine der häufigsten orthopädischen Erkrankungen. Es gibt seine Synonyme: Arthrose (OA), deformierende Arthrose. Die Krankheit stellt ein wichtiges sozioökonomisches Problem dar, da sie weit verbreitet ist und aufgrund ständiger Schmerzen die Lebensqualität der Patienten erheblich verschlechtert und darüber hinaus zu großer Behinderung führt.

Bis Mitte der achtziger Jahre des letzten Jahrhunderts gab es keine einheitliche Definition der Krankheit. Erst 1995 charakterisierte das Osteoarthritis-Komitee des American College of Rheumatology die Krankheit als Folge mechanischer und biologischer Faktoren, die zu einem Ungleichgewicht zwischen den Abbau- und Syntheseprozessen der extrazellulären Matrix des Gelenkknorpels führen. Dadurch kommt es zum Zerfall und zur Degeneration der Fasern, es kommt zu Rissen, Osteosklerose und Verdichtung der kortikalen Schicht des subchondralen Knochens, es wachsen Osteophyten und es bilden sich subchondrale Zysten.
Warum kommt es zu einer Arthrose des Kniegelenks?
Zu den Risikofaktoren für Arthrose gehören:
- chronische Traumatisierung (Verletzung der körperlichen Aktivität, Übergewicht);
- endokrine, entzündliche, metabolische und ischämische Erkrankungen;
- das Vorliegen angeborener oder erworbener Störungen der Beziehungen, der Form oder der strukturellen Organisation der Gelenkenden.
Wenn Sie ähnliche Symptome bemerken, wenden Sie sich an Ihren Arzt. Machen Sie keine Selbstmedikation, es ist gesundheitsschädlich!
Symptome einer Arthrose der Kniegelenke.
Arthrose des Kniegelenks ist gekennzeichnet durch:
- allmählicher Beginn;
- leichte Schmerzen im Gelenk beim Bewegen, insbesondere beim Treppensteigen;
- „Anspannung“, Steifheit und „anfänglicher Schmerz“, die bei den ersten Schritten auftreten und nach Wiederaufnahme erheblicher körperlicher Aktivität nachlassen oder verschwinden, wenn der Patient „abweicht“.
- Das Aussehen des Knies bleibt gleich. Manchmal kommt es zu einer leichten Schwellung oder Flüssigkeitsansammlung im Gelenk. Gleichzeitig nimmt das Knie an Volumen zu, es schwillt an, flacht ab und es sind Bewegungseinschränkungen und Schweregefühle zu spüren.
Schmerzhafte Empfindungen
Mit fortschreitender Krankheit werden die Schmerzen stärker und treten auch bei geringer Anstrengung und langen Spaziergängen auf. Befindet sich entlang der vorderen Innenfläche des Gelenks. Längere Ruhe hilft normalerweise, die Schmerzen zu lindern.
Eingeschränkte Beweglichkeit des Kniegelenks und charakteristisches Knirschen.
Bei Arthrose kann die Beweglichkeit des Gelenks eingeschränkt sein, es kann ein knackendes Geräusch auftreten und bei maximaler Beugung des Beins treten stechende Schmerzen auf.
Kniedeformität
Die Konfiguration des Gelenks verändert sich, als würde es sich ausdehnen.
Synovitis
Bei der Synovitis des Kniegelenks handelt es sich um eine Entzündung der Auskleidung der Gelenkinnenhöhle. Die Erkrankung äußert sich in einer Schwellung des Knies, einer Rötung der Haut und einer eingeschränkten Beweglichkeit des Gelenks. Mit der Entwicklung einer Arthrose kommt es häufiger zu einer Synovialitis, die länger anhält und eine große Flüssigkeitsmenge mit sich bringt.
Das letzte Stadium der Gonarthrose ist dadurch gekennzeichnet, dass die Schmerzen nahezu konstant werden und nicht nur beim Gehen, sondern auch in Ruhe und sogar nachts, wenn die Patienten eine bequeme Schlafposition finden müssen, Angst verursachen. Die Bewegung ist eingeschränkter: Es ist schwierig, das Bein vollständig zu beugen und zu strecken. Das Gelenk verformt sich und nimmt an Volumen zu. Häufig kommt es zu einer Valgus- (X-förmigen) oder Varus- (O-förmigen) Deformität der Beine. Der Gang wird instabil und schwankt. In schweren Fällen sind ein Stock oder Krücken erforderlich.

Forschern zufolge haben 76 % der älteren Menschen, die über Knieschmerzen klagen, Röntgenbilder, die eine Gonarthrose zeigen. Laut Statistik leiden Frauen nach dem 45. Lebensjahr häufiger an dieser Krankheit, die mit hormonellen Veränderungen einhergeht.
Pathogenese der Arthrose der Kniegelenke.
Es gibt primäre und sekundäre Arthrose.
Primäre Arthrose des Kniegelenks.
- Gelenkknorpel wird ständig zerstört und erneuert; Normalerweise sind diese Prozesse ausgeglichen. Mit zunehmendem Alter verlangsamt sich die Knorpelerneuerung und die Zerstörung beginnt zu überwiegen, was als Abbau- oder Degenerationsprozess bezeichnet wird. Das Gewicht einer Person spielt eine wichtige Rolle, da wir bei einer Masse von 70 kg in 20 Schritten jedes Bein mit 700 kg belasten (70 kg x 10 Schritte) und bei einer Masse von 120 kg bereits 1200 kg auf jedes Bein. Daher nutzt sich schwacher Knorpel viel schneller ab;
- man muss bedenken: Das Gelenk erhält Nährstoffe und erholt sich während der Bewegung; Eine sitzende Lebensweise reduziert Stoffwechselprozesse und die notwendigen Elemente gelangen nicht in den Knorpel;
- Es gibt kontroverse Beweise über die erbliche Rolle bei der Entstehung der Krankheit. Wenn die Eltern Arthrose hatten, steigt die Wahrscheinlichkeit, dass diese auch bei Kindern auftritt;
- Es entsteht aufgrund einer autoimmunen Synovialentzündung.
Sekundäre Arthrose des Kniegelenks.
- Verletzungen (Frakturen, Meniskusrisse und vorderes Kreuzband). Leider führen diese Verletzungen bei jedem, unabhängig vom Alter, zu einer übermäßigen Belastung des Knorpels. Ein Bruch eines mit Knorpel bedeckten Knochenteils geht mit der Bildung einer Unebenheit einher – einer „Stufe“. In diesem Bereich kommt es bei Bewegung zu Abschürfungen und es bildet sich Arthrose;
- rheumatoide Arthritis, Morbus König (Osteochondritis dissecans), Folgen einer eitrigen Gelenkentzündung (Gonitis) usw.;
- regionale Gefäßerkrankungen;
- Chronische exsudativ-proliferative Prozesse und Narbenverklebungen im Gelenk.

Bei der Arthrose (Osteoarthrose) kommt es neben der fortschreitenden Zerstörung des Knorpels, dem Verlust seiner Elastizität und stoßdämpfenden Eigenschaften auch zu einer allmählichen Beteiligung der Knochen an dem Prozess. Unter Belastung entstehen scharfe Kanten (Exostosen), die fälschlicherweise für „Salzablagerungen“ gehalten werden; Bei der klassischen Arthrose kommt es nicht zu Salzablagerungen. Mit fortschreitender Arthrose „frisst“ sie den Knorpel weiter auf. Dann verformt sich der Knochen, es bilden sich dort Zysten, alle Gelenkstrukturen sind betroffen und das Bein beugt sich.
Neben dem inneren oder äußeren Teil des Knies kann Arthrose auch die Oberflächen zwischen der Kniescheibe und der interkondylären Rinne des Femurs betreffen. Diese Option heißt patellofemorale Arthrose.
Die Ursache liegt meist in einer Subluxation, Fraktur oder Lateralisierung der Patella.

Einteilung und Entwicklungsstadien der Arthrose der Kniegelenke.
Unabhängig von der Ursache gibt es drei Stadien der Gonarthrose bzw deformierende Arthrose des Kniegelenks.
Gonarthrose, Stadium I
Das erste Stadium der Erkrankung ist durch primäre Veränderungen des hyaliner Knorpels gekennzeichnet. Knochenstrukturen werden nicht beeinträchtigt. Die Blutversorgung in intraossären Gefäßen und Kapillaren ist gestört. Die Knorpeloberfläche trocknet aus und verliert ihre Glätte. Geht die Erkrankung mit einer ständig angespannten Synovitis einher, entsteht eine Baker-Zyste (Hernienvorwölbung der Gelenkkapsel der Kniekehlenregion). Nach starker Belastung des Gelenks kommt es zu einem dumpfen Schmerz. Es kann zu einer leichten Schwellung kommen, die nach Ruhe verschwindet. Es gibt keine Verformung.
Gonarthrose, Stadium II
Im zweiten Stadium wird die Knorpelschicht deutlich dünner und verschwindet an manchen Stellen ganz. An den Rändern der Gelenkflächen treten Osteophyten auf. Die qualitativen und quantitativen Eigenschaften der Gelenkflüssigkeit verändern sich: Sie wird dicker und zähflüssiger, was zu einer Verschlechterung ihrer Ernährungs- und Schmiereigenschaften führt. Der Schmerz ist länger und intensiver, bei Bewegung ist meist ein knirschendes Geräusch zu hören. Es kommt zu einer leichten bis mäßigen Bewegungseinschränkung und leichten Verformung des Gelenks. Die Einnahme von Schmerzmitteln hilft, Schmerzen zu lindern.
Gonarthrose, Stadium III
Mangel an Knorpel in den meisten betroffenen Bereichen, schwere Sklerose (Verhärtung) des Knochens, viele Osteophyten und akute Verengung oder Abwesenheit des Gelenkraums. Der Schmerz ist nahezu konstant, das Gehen ist verändert. Die Beweglichkeit ist stark eingeschränkt und es kommt zu deutlichen Verformungen der Gelenke. NSAIDs, Physiotherapie und andere Standardmethoden zur Behandlung von Knie-Arthrose sind wirkungslos.
Arten von Gonarthrose
Abhängig von der Anzahl der betroffenen Gelenke werden einseitige und beidseitige Gonarthrosen unterschieden.
Komplikationen einer Arthrose der Kniegelenke.
Die häufigste Komplikation der Stadien II und III ist die Tendovaginitis der Adduktormuskelgruppe des Oberschenkels. Dies äußert sich durch Schmerzen an der Gelenkinnenfläche, die sich bei Bewegung verstärken. Die Ursache sind Ungleichgewichte und Muskelverformungen. Bei einer längeren Einschränkung der Bewegungsfreiheit entsteht eine Kontraktur. Darüber hinaus kommt es häufig zu einer Synovialitis.
Folgen einer fortgeschrittenen Gonarthrose
Gonarthrose betrifft den gesamten Bewegungsapparat und verändert die Biomechanik der Wirbelsäule und anderer großer Gelenke der unteren Extremitäten. Dies kann zu Bandscheibenvorfällen und Arthritis anderer Gelenke führen. Das zweite Kniegelenk ist überlastet (bei einseitiger Erkrankung), da der Patient das schmerzende Bein verzeiht und das Gewicht auf das andere, gesunde Bein verlagert.
Diagnose einer Arthrose der Kniegelenke.
Instrumentelle Diagnostik der Arthrose des Kniegelenks.
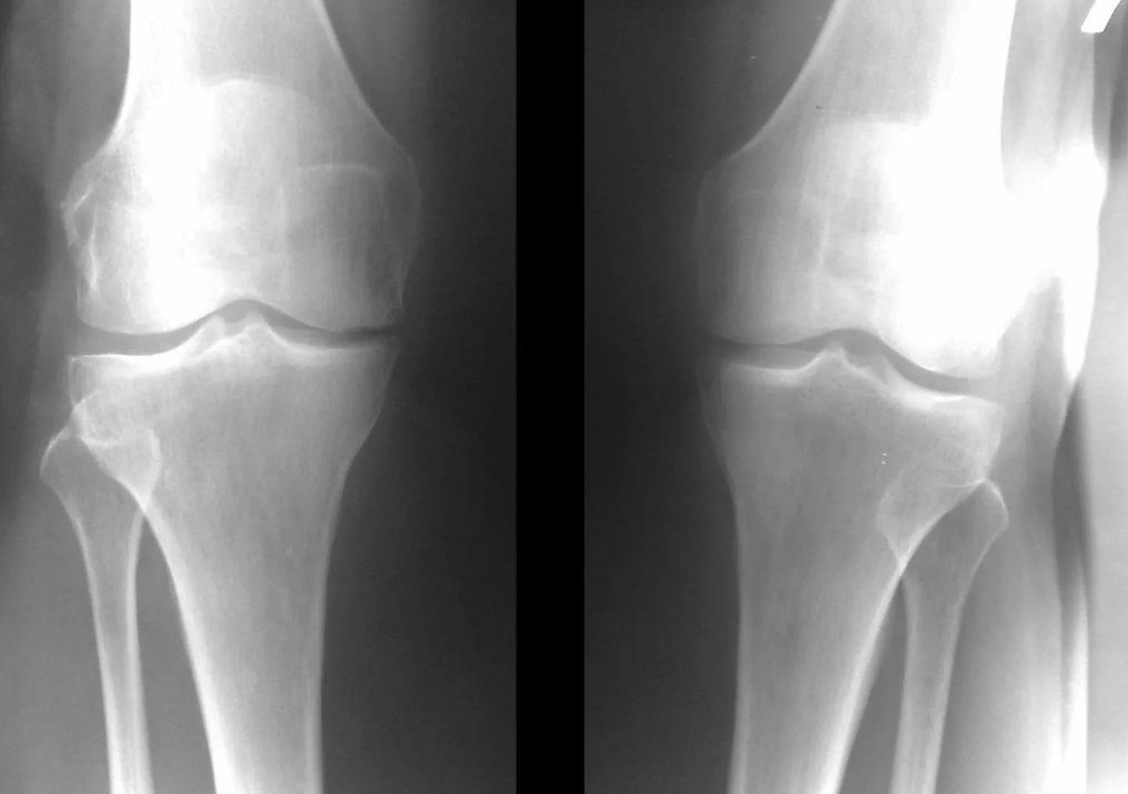
In den allermeisten Fällen reicht eine Untersuchung und Röntgenaufnahme des Kniegelenks in zwei Ansichten (direkt und seitlich) aus. Klinische Daten und Bildgebung helfen bei der Bestimmung des Krankheitsstadiums.

Im Frühstadium der Erkrankung mit geringfügigen Veränderungen des Knochengewebes ist eine Röntgenuntersuchung nicht so wertvoll. In diesem Stadium kann eine Gonarthrose durch eine Arthroskopie diagnostiziert werden. Die Präzision der Methode ist sehr hoch; Nur seine invasive Natur und sein Preis können es stoppen.
Ultraschall ermöglicht keine klare Visualisierung von Veränderungen des Gelenkknorpels und der intraartikulären Strukturen. Mit der MRT lassen sich Veränderungen der Knochen-, Knorpel- und Weichteilstrukturen des Gelenks sowie des subchondralen Knochens mit einer Genauigkeit von 85 % erkennen. Mithilfe der Szintigraphie kann die Stoffwechselaktivität des periartikulären Knochengewebes beurteilt werden.
Labordiagnostik einer Arthrose des Kniegelenks.
Ein erhöhter Gehalt an Phosphor und Kalzium in der dehydrierten Gelenkflüssigkeit ist ein Hinweis auf eine Zerstörung des osteochondralen Gewebes des Gelenks und eine Ansammlung von Abbauprodukten. Auch Blut wird untersucht: allgemeine Analyse und Blutsenkungsgeschwindigkeit (BSG); Bestimmen Sie den Fibrinogen-, Harnstoff- und andere biochemische Parameter von Blut und Urin.
Ist eine vollständige Heilung einer deformierenden Arthrose des Kniegelenks möglich?
Eine vollständige Heilung einer Gonarthrose ist nur im frühesten Krankheitsstadium möglich.
Welcher Arzt behandelt die deformierende Arthrose des Kniegelenks?
Ein Traumatologe, Orthopäde oder Rheumatologe stellt eine Diagnose und verschreibt eine Behandlung.
Behandlung von Arthrose der Kniegelenke.
konservativ — entzündungshemmende Medikamente, Analgetika, Muskelrelaxantien, Gefäß-, Chondroprotektoren, Kompressen, Kinesiotaping, Physiotherapie, Physiotherapie, Orthesen.
Minimalinvasiv- paraartikuläre Blockaden (Novocain + Medikamente lindern Schmerzen und Entzündungen), Injektion von künstlichem Gleitmittel in das Gelenk selbst, Plasmalifting.
Chirurgisch — Arthroskopie (eine wenig traumatische Methode zur Behandlung intraartikulärer Pathologien und zur Beseitigung beschädigter Strukturen), Endoprothesen.
Pharmakologische Behandlung (Arzneimittel zur Behandlung von Arthrose des Kniegelenks)
Konservative Methoden sind im Anfangsstadium der Erkrankung am wirksamsten. Sie helfen, Schmerzen zu lindern und die Knorpelzerstörung vorübergehend zu verlangsamen. Im Stadium II sind wirksamere Methoden erforderlich. Das Einbringen von Hyaluronsäurepräparaten in die Gelenkhöhle dient der Reduzierung von Reibung und Knorpelverletzungen. Es gibt keine eindeutigen Hinweise auf eine Wiederherstellung des Knorpels, es eignet sich jedoch gut zur Schmierung von Oberflächen. Unter der „PRP-Therapie“ (Plasmolifting) versteht man die Injektion von plättchenreichem Plasma in das Kniegelenk, das durch Zentrifugation aus dem eigenen Blut des Patienten gewonnen wird. Nährt den Knorpel und fördert seine Wiederherstellung, da Autoplasma-Blutplättchen zahlreiche Wachstumsfaktoren und Zytokine enthalten, die die Regeneration von geschädigtem Gewebe fördern.
Chirurgische Behandlung und Endoprothese.
Der Stentersatz ist eine gängige und wirksame chirurgische Methode zur Behandlung schwerer Gonarthrose, um die Beweglichkeit der Gliedmaßen und die Fähigkeit, danach ein erfülltes Leben zu führen, aufrechtzuerhalten. Es handelt sich um einen High-Tech-Eingriff, der etwa eineinhalb Stunden dauert. In der postoperativen Phase ist eine längere Rehabilitation und Entwicklung des Gelenks erforderlich. Nach 25 bis 30 Jahren, wenn das künstliche Gelenk abgenutzt ist, muss es erneut ersetzt werden.

Physiotherapie und Bewegungstherapie.
Physiotherapie- und Bewegungstherapiemethoden zur Behandlung von Arthrose des Kniegelenks sind wirkungslos.
Diättherapie
Um ein normales Gewicht zu halten, ist nur eine Diät erforderlich; Es gibt keine Einschränkungen für den Verzehr bestimmter Lebensmittel bei Gonarthrose.
Hilft die Blockade bei Gonarthrose?
Bei Arthrose des Kniegelenks wird eine paraartikuläre Blockade eingesetzt – eine Injektion des Arzneimittels in das Weichgewebe um das Gelenk. Während des Eingriffs wird der Entzündungs- und Schmerzbereich in der Nähe des Gelenks bestimmt, die Haut mit Alkohol behandelt und Hydrocortison mit einem Anästhetikum in diesen Bereich injiziert.
Therapeutische Übungen bei Arthrose.
Therapeutische Übungen sind sowohl für Patienten mit Gonarthrose als auch zur Vorbeugung dieser Krankheit sinnvoll. Effektive Übungen:
- volle Beugung und Streckung des Beines, auf dem Rücken liegend;
- Heben Sie ein gestrecktes Bein an, während Sie auf dem Rücken liegen.
Vorhersage. Prävention
Sie sollten sich darüber im Klaren sein, dass eine beginnende Arthrose sofort behandelt werden muss. Wenn bei Ihnen das Risiko besteht, an dieser Krankheit zu erkranken, können Sie ihr Auftreten verzögern. Hierzu wird Folgendes empfohlen:
- die Belastung des Kniegelenks reduzieren;
- Schwimmen – Wasser baut Stress ab;
- massieren Sie selbst die Muskeln des Unterschenkels und des Oberschenkels;
- vermeiden Sie Unterkühlung und Überlastung;
- ein normales Gewicht halten;
- Hören Sie auf zu rauchen und Alkohol zu trinken;
- Frauen tragen bequeme Schuhe mit niedrigen Absätzen;
- Physiotherapie machen
Bevor Sie mit therapeutischen Übungen beginnen, sollten Sie unbedingt Ihren Arzt konsultieren. Die Übungen werden in einem langsamen Tempo durchgeführt. Treten beim Turnen Schmerzen oder Beschwerden auf, sollten die Übungen abgebrochen werden.
Es dürfen nur wirksame Medikamente eingesetzt werden. Reiben, Kompressen und andere Volksmethoden sind wirkungslos; Sie bekämpfen nicht die Krankheitsursache, sondern lenken nur vom Schmerz ab. Vermeiden Sie Verletzungen und Überlastungen: Springen, Tragen schwerer Gegenstände, langes Stehen oder Sitzen in einer unbequemen Position. Dies beschleunigt das Fortschreiten der Krankheit.
Es ist auch notwendig, rheumatoide Arthritis, Gicht und systemische Erkrankungen schnell zu diagnostizieren und zu behandeln.
Welche Faktoren beeinflussen die Langzeitprognose einer Kniearthrose?
Die Prognose hängt vom Stadium des Arztbesuchs und der richtigen Therapie ab. Je früher Sie mit der richtigen Behandlung beginnen, desto besser sind Ihre Chancen, eine Operation zu vermeiden.
























